Glial fibrillary acidic protein photograph

Glial Fibrillary Acidic Protein

Use attributes for filter !
Classification Protein
Trade nameChemicon
Date of Reg.
Date of Upd.
ID2057192
Send edit request

About Glial Fibrillary Acidic Protein


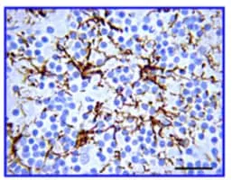
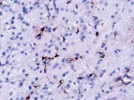
Glial fibrillary acidic protein is a protein that is encoded by the GFAP gene in humans. Glial fibrillary acidic protein is an intermediate filament protein that is expressed by numerous cell types of the central nervous system including astrocytes and ependymal cells during development.

Glial fibrillary acidic protein Photos

Related Persons

Next Profile ❯