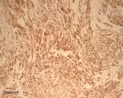
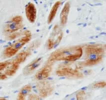
Desmin photograph

Desmin

Use attributes for filter !
Classification Protein
Date of Reg.
Date of Upd.
ID2064007
Send edit request

About Desmin


Desmin is a protein that in humans is encoded by the DES gene. Desmin is a muscle-specific, type III intermediate filament that integrates the sarcolemma, Z disk, and nuclear membrane in sarcomeres and regulates sarcomere architecture.

Desmin Photos

Related Persons

Next Profile ❯