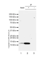
Beta-2 microglobulin photograph

Beta-2 Microglobulin

Use attributes for filter !
Date of Reg.
Date of Upd.
ID2178053
Send edit request

About Beta-2 Microglobulin


β₂ microglobulin also known as B2M is a component of MHC class I molecules, MHC class I molecules have α₁, α₂, and α₃ proteins which are present on all nucleated cells. In humans, the β₂ microglobulin protein is encoded by the B2M gene.

Beta-2 microglobulin Photos

Related Persons

Next Profile ❯