Chromogranin A photograph

Chromogranin A

Use attributes for filter !
Classification Peptide
Date of Reg.
Date of Upd.
ID2350722
Send edit request

About Chromogranin A


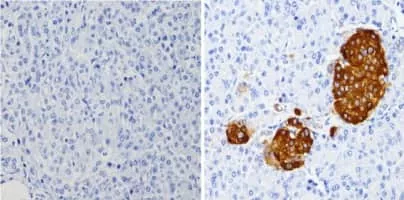
Chromogranin A or parathyroid secretory protein 1 is a member of the granin family of neuroendocrine secretory proteins, i. e. , it is located in secretory vesicles of neurons and endocrine cells such as islet beta cell secretory granules in pancreas. In humans, chromogranin A protein is encoded by the CHGA gene.

Chromogranin A Photos

Related Persons

Next Profile ❯