Villin
| Use attributes for filter ! | |
| Symbol | VIL1 |
|---|---|
| OMIM | 193040 |
| Date of Reg. | |
| Date of Upd. | |
| ID | 1978214 |
About Villin
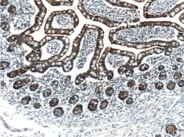
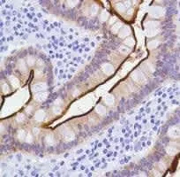
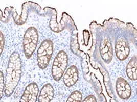
Villin is a 92. 5 kDa tissue-specific actin-binding protein associated with the actin core bundle of the brush border.
| Use attributes for filter ! | |
| Symbol | VIL1 |
|---|---|
| OMIM | 193040 |
| Date of Reg. | |
| Date of Upd. | |
| ID | 1978214 |
Villin is a 92. 5 kDa tissue-specific actin-binding protein associated with the actin core bundle of the brush border.