Pancreatic polypeptide photograph

Pancreatic Polypeptide

Use attributes for filter !
Classification Peptide
SymbolPPY
Date of Reg.
Date of Upd.
ID1129981
Send edit request

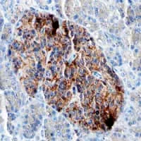
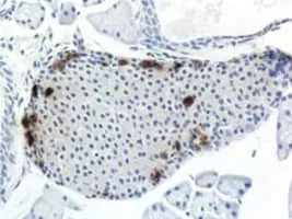
About Pancreatic Polypeptide


Pancreatic polypeptide is a polypeptide secreted by PP cells in the endocrine pancreas predominantly in the head of the pancreas. It consists of 36 amino acids and has molecular weight about 4200 Da. The function of PP is to self-regulate pancreatic secretion activities.

Pancreatic polypeptide Photos

Related Persons

Next Profile ❯