About Neuroradiology
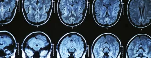
Neuroradiology is a subspecialty of radiology focusing on the diagnosis and characterization of abnormalities of the central and peripheral nervous system, spine, and head and neck using neuroimaging techniques.
Neuroradiology is a subspecialty of radiology focusing on the diagnosis and characterization of abnormalities of the central and peripheral nervous system, spine, and head and neck using neuroimaging techniques.