Neuroimaging photograph

Neuroimaging

Use attributes for filter !
Date of Reg.
Date of Upd.
ID2042037
Send edit request

About Neuroimaging


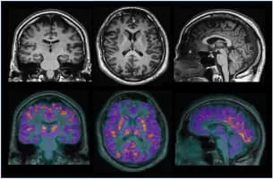
Neuroimaging or brain imaging is the use of various techniques to either directly or indirectly image the structure, function, or pharmacology of the nervous system. It is a relatively new discipline within medicine, neuroscience, and psychology.

Neuroimaging Photos

Related Persons

Next Profile ❯