About Hematopathology
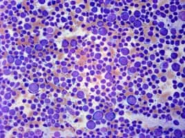
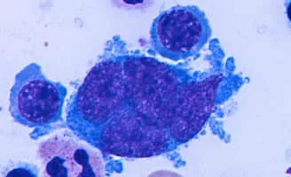
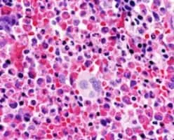
Hematopathology or hemopathology is the study of diseases and disorders affecting blood cells, their production, and any organs and tissues involved in hematopoiesis, such as bone marrow, the spleen, and the thymus.
Hematopathology or hemopathology is the study of diseases and disorders affecting blood cells, their production, and any organs and tissues involved in hematopoiesis, such as bone marrow, the spleen, and the thymus.