Filaggrin photograph

Filaggrin

Use attributes for filter !
Classification Protein
Date of Reg.
Date of Upd.
ID2607174
Send edit request

About Filaggrin


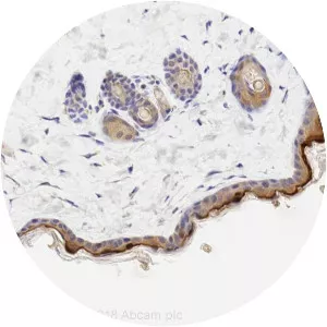
Filaggrin is a filament-associated protein that binds to keratin fibers in epithelial cells. Ten to twelve filaggrin units are post-translationally hydrolyzed from a large profilaggrin precursor protein during terminal differentiation of epidermal cells.

Related Persons

Next Profile ❯