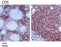
CD5 photograph

CD5

Use attributes for filter !
Date of Reg.
Date of Upd.
ID2429930
Send edit request

About CD5


CD5 is a cluster of differentiation expressed on the surface of T cells and in a subset of murine B cells known as B-1a. The expression of this receptor in human B cells has been a controversial topic and to date there is no consensus regarding the role of this receptor as a marker of human B cells.

CD5 Photos

Related Persons

Next Profile ❯