Caspase 3 photograph

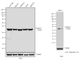
Caspase 3

Use attributes for filter !
Date of Reg.
Date of Upd.
ID2206537
Send edit request

About Caspase 3


Caspase-3 is a caspase protein that interacts with caspase-8 and caspase-9. It is encoded by the CASP3 gene. CASP3 orthologs have been identified in numerous mammals for which complete genome data are available. Unique orthologs are also present in birds, lizards, lissamphibians, and teleosts.

Caspase 3 Photos

Related Persons

Next Profile ❯